Dr. Mark Riechman, DDS
Complete Dental Care

Smile Gallery

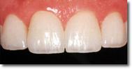
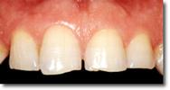
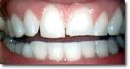
Here is a sample of some of our cosmetic work. We have photos showing hundreds of cosmetic cases we have completed and would be happy to demonstrate the results we can achieve for you.

Getting an appointment is fast and easy!
A Glowing Review of Dr. Riechman
If you have difficulty using our website, please email us or call us at (708) 460-3500
View the ADA Accessibility Statement
Privacy Policy